Ивановские онкохирурги успешно провели сложную панкреатодуоденальную резекцию пациентке с раком поджелудочной железы.
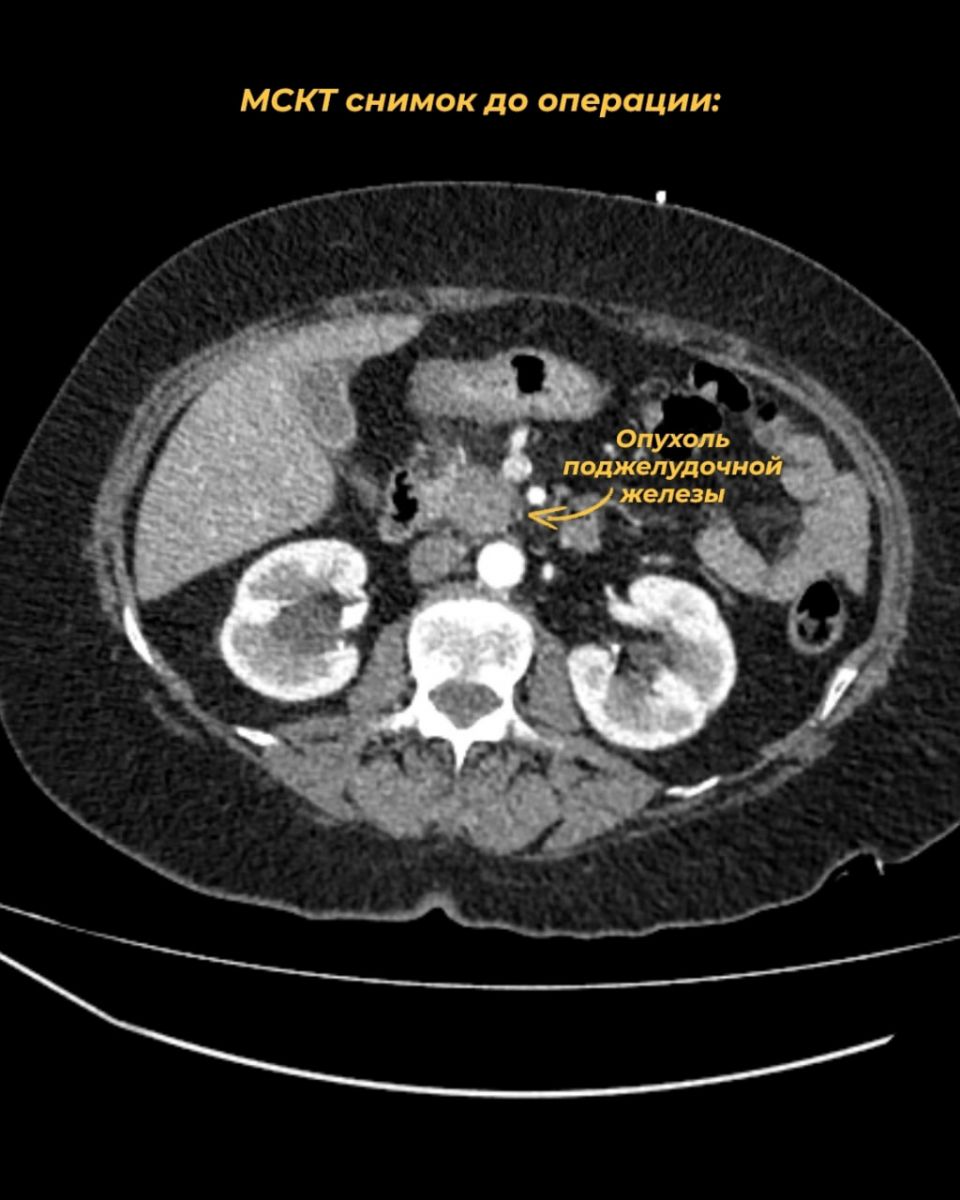
Как сообщает администрация Ивановского областного онкологического диспансера, 69-летняя пациентка обратилась к врачу после появления желтушности кожных покровов и была направлена в онкодиспансер с подозрением на опухоль головки поджелудочной железы. Врачи отделения рентгенхирургических методов диагностики и лечения, Арсентьев Д.В. и Суслов Д.А. в первую очередь устранили угрозу жизни, проведя дренирование внутрипеченочных желчных протоков под местной анестезией.
Параллельно с лечением в Ивановском онкодиспансере женщина обратилась за вторым мнением в одну из столичных клиник, где опухоль была признана неоперабельной и рекомендовали химиотерапию. Однако ивановские хирурги, основываясь на собственном опыте и мировой статистике, пришли к выводу о возможности радикального хирургического вмешательства. После повторного КТ и тщательного анализа с 3D-реконструкцией сосудов они предложили пациентке операцию.
Хирургическая бригада состояла из опытных специалистов: заведующего отделом торакоабдоминальной онкохирургии Владимира Суворова, заместителя главного врача Валентина Алексеева, онколога-хирурга Вугара Новрузова, анестезиолога Василия Полетаева, операционной сестры Анастасии Гонновой и медицинской сестры-анестезиста Марии Бекасовой, отмечается в источнике.
Операция длилась около 7 часов и прошла успешно без интраоперационных и послеоперационных осложнений. Это уже 15-е подобное вмешательство, проведенное в данном отделении с момента его создания. Пациентка была выписана домой к своим близким.
«Я очень благодарна нашим докторам. Замечательные врачи! Не стесняйтесь, не бойтесь, обращайтесь. Врачи очень внимательные», - поделилась с источником своими впечатлениями пациентка.

